首の痛みと頭痛の施術例:20代の男性
首の痛みと頭痛の施術例:20代の男性
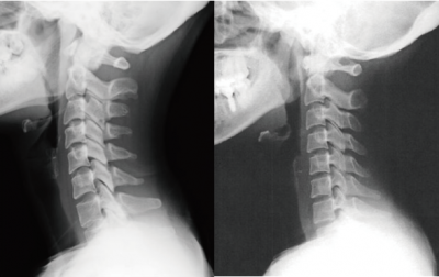
首の痛みと頭痛で来院された20代男性の施術例です。2年前に軽い事故をして、自己判断でそのときは身体には異常無かったので放置されたようです。
その後、半年くらい経過して思い当たる原因も無く首に違和感を感じるようになり、その後時々頭痛も感じはじめ、病院を受診して検査を受けるとレントゲンでストレートネックになっているといわれ、痛み止めの薬で様子をみてくださいということでした。
仕事が忙しくなり下を向く姿勢での作業が多く頭痛が頻繁に感じるようなって首を上に向けると肩甲骨にびりびりと電気が走る感じもあるとのことで御幸町カイロで相談を受けました。
体の歪みは右に捻れ、頸椎はストレートネックなっている感じがあり、歪みからは首の痛みと頭痛を感じやすい状態になっていました。
改善アドバイス
歪み自体は、いびつな歪みは無く施術で中心に戻り上を向いてもビリビリした感じは無くなりましたが、また負担をかけるとはじめは出やすいので日常で出来る簡単なストレッチと運動、早寝早起きを意識してもらえるようお話をしました。
2ケ月で数回の施術を受けていただいて症状は軽減し、今後改善には3ヶ月ほどかかる感じの首の状態と考えています。比較的簡単な施術例になります。
—————————————————
<お問合せ・ご相談・施術予約はこちらから>
京都市中京区の整体、京都御幸町カイロプラクティックでは頭痛・肩こり・腰痛・手足のしびれなどの症状改善や、貧血・低血糖・子供の症状・不定愁訴など、分子整合栄養医学を基にして栄養療法で改善のお手伝いをしています。ご遠方の方もお気軽にご相談ください。
————————————————–
京都 御幸町カイロプラクティック
京都市中京区御幸町御池上ル亀屋町384
TEL 075 – 222 – 6667
http://www.gokomachi.com/
https://www.facebook.com/pages/gokomachi
—————————————————-

075-222-6667


